ADNI-1 Dataset & Cross-Dataset Analysis
Alzheimer's Disease Neuroimaging Initiative - Robustness Validation
629 Subjects
Multi-Site
1.5T MRI
Cross-Dataset Tested
629
Total Subjects
194
Cognitively Normal
302
Mild Cognitive Impairment
133
Alzheimer's Disease
About ADNI-1
The Alzheimer's Disease Neuroimaging Initiative (ADNI) is a multi-site longitudinal study tracking biomarkers for AD progression.
ADNI-1 contains 629 baseline scans from CN, MCI, and AD subjects across 50+ sites in North America.
55-90
Age Range (years)
1.5T
MRI Field Strength
50+
Collection Sites
T1-W
MRI Modality
Label Definition Shift
Critical difference from OASIS
⚠️ Important
ADNI Positive Class = MCI + AD (broader disease spectrum)
OASIS Positive Class = CDR 0.5 only (very mild / early)
This label shift explains why cross-dataset transfer shows accuracy collapse (~34%) despite reasonable AUC (~0.60).
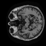
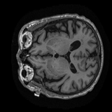
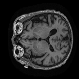
Sample MRI Scans
9 samples
Animated sagittal slices from ADNI-1 subjects across diagnostic groups
CN

CN Subject 1
CN

CN Subject 2
CN

CN Subject 3
Animated GIFs show 20 sagittal slices near the brain midline.
ADNI data is used under the ADNI Data Use Agreement. This portal presents research results for methodological evaluation. Results are not intended for clinical use.